Skip Menu
Continue

Invisalign® Provider

  • Home
  • About Us
    • Our Office
    • New Patients
    • Smile Gallery
    • Dental Videos
    • Reviews
  • Our Doctors
    • Matthew Horn, DDS
    • Giuseppe Lamantea, DDS
    • Jesse Liu, DMD
  • Services
      • Air Abrasion
      • Ceramic Crowns
      • Dental Bridges
      • Dental Cleanings
      • Dental Fillings
      • Dentures
      • Digital Radiography
      • Emergency Treatment
      • Extractions
      • Implant Dentistry
      • Invisalign®
      • Night Guards
      • Oral Cancer Screening
      • Oral Exams
      • Pediatric Dentistry
      • Periodontal Treatment
      • Preventive Program
      • Root Canals
      • Snoring Appliances
      • Sleep Apnea
      • Sports Mouthguards
      • Teeth Whitening
      • TMJ Disorders
      • Veneers
    • View All
  • Dental Health
  • Contact
    • Contact Us
    • Request Appointment

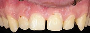
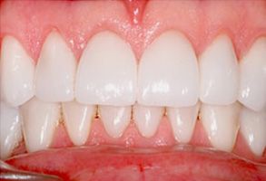
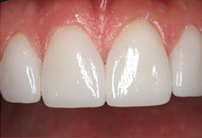
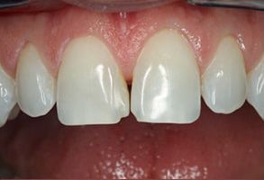
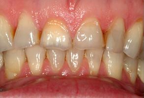
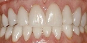
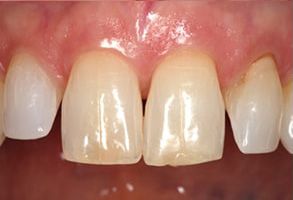
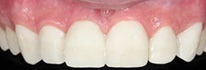
Smile Gallery

Additional Information

Our Location

440 Chestnut Street
Union, NJ 07083
New Patients: (908) 666-4973
Existing Patients: (908) 686-0409

Follow Us